About
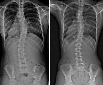
Award winning Spine & Scoliosis clinic in Denver, located by I-25 & S. Colorado Blvd. Clinic has Medical Doctors, Nurse practitioner, Physical Therapist, Chiropractor, Massage therapist all in one clinic to better help our patients. Clinic works with most health insurances and all Auto accident claims. Open Tuesday thru Saturdays. Call us at 303-757-7280 for Free Initial Consultation.
PROVIDES AT HEALTH FAIR
Hold on, this information is only available to logged in users. Login or Create Account.
OUR WORKSHOPS/SCREENINGS/CLINICS
Hold on, this information is only available to logged in users. Login or Create Account.
Our Locations
Hold on, this information is only available to logged in users. Login or Create Account.
Provider Reviews
Hold on, this information is only available to logged in users. Login or Create Account.
Photos
Videos
This provider has not added any videos.







