About
We believe that everyone deserves to have a healthy, comfortable and beautiful smile and we want to be your partner in achieving and maintaining it. We understand that sometimes fear, prior bad experiences and finances may have limited your ability to fix or maintain your dental health. Our office offers uncompromising care in a spa like environment that takes patient comfort and relaxation to a new level. Our staff is dedicated to helping patients make positive choices for their dental health. At Five Forks Dental Care, we provide every phase of general dentistry with the same passion, gentle care and dedication to excellence that we bring to our more complex procedures.
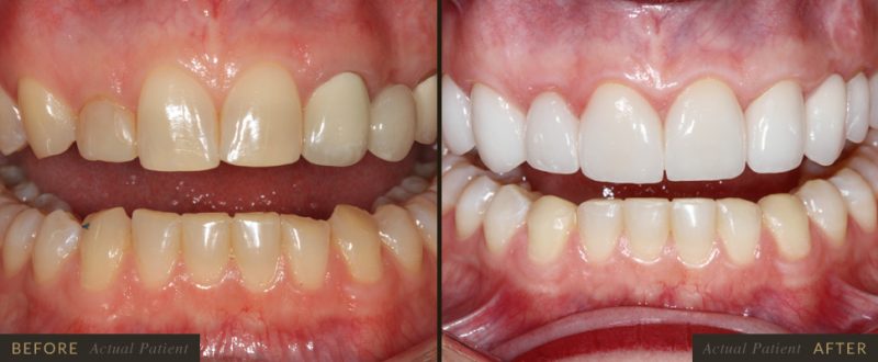
If you have been thinking what it would be like to have a smile that naturally and beautifully suits your face and makes you look more youthful, happy and confident – you are in the right place, because that is exactly what we provide for people every day.
PROVIDES AT HEALTH FAIR
Hold on, this information is only available to logged in users. Login or Create Account.
OUR WORKSHOPS/SCREENINGS/CLINICS
Hold on, this information is only available to logged in users. Login or Create Account.
Our Locations
Hold on, this information is only available to logged in users. Login or Create Account.
Provider Reviews
Hold on, this information is only available to logged in users. Login or Create Account.
Photos
Videos
This provider has not added any videos.









